Det är lätt att tänka att barns tänder “ordnar sig med tiden”. Många föräldrar i Göteborg ser hur mjölktänder kommer och går, hur tandrader förändras och hur bettet utvecklas. Men ibland finns det ett tydligt tecken på att något inte riktigt följer den naturliga vägen: ett öppet bett.
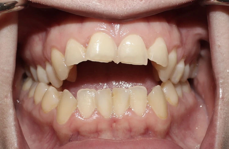
Ett öppet bett innebär att barnet inte kan stänga ihop tänderna ordentligt framtill, vilket skapar en glipa mellan över- och underkäke när munnen är stängd. För vissa barn märks det knappt i början, men för andra påverkar det både tal, tuggfunktion och självkänsla.
Just därför söker allt fler information om öppet bett barn Göteborg – när ska man söka behandling? Det är en viktig fråga, eftersom tidig förståelse kan göra stor skillnad för barnets framtida tandhälsa.
I den här artikeln går vi igenom vad öppet bett är, varför det uppstår, när behandling bör övervägas och vilka alternativ som finns för familjer i Göteborg.
Vad är öppet bett hos barn?
När man pratar om bettfel hos barn är det viktigt att förstå att tandutveckling är en process som pågår under många år. Ett öppet bett är ett av de vanligare bettproblemen och kännetecknas av att framtänderna inte möts när barnet biter ihop.
Ett öppet bett kan vara litet och tillfälligt, särskilt under perioden då mjölktänder byts ut. Men det kan också vara mer uttalat och bestående, vilket kräver professionell bedömning.
När föräldrar söker på öppet bett barn Göteborg – när ska man söka behandling? handlar det ofta om oro kring om barnet kommer växa ifrån problemet eller om det faktiskt behöver korrigeras.
Varför uppstår öppet bett hos barn?
Bakom ett öppet bett finns nästan alltid en kombination av vanor, genetik och käkutveckling. För att förstå när man bör agera behöver man också förstå orsakerna.
Sugvanor och nappanvändning
Många små barn suger på napp eller tumme som en naturlig trygghet. Problemet uppstår när vanan fortsätter för länge. Ett långvarigt sugtryck kan påverka tandbågen och skapa ett öppet bett.
Det är vanligt att tandläkare i Göteborg uppmärksammar detta tidigt, eftersom det är en av de mest förebyggbara orsakerna.
Tungans position och sväljning
Vissa barn har en ovana att pressa tungan framåt när de sväljer eller pratar. Detta kallas ibland tungpress och kan bidra till att framtänderna hålls isär.
I diskussionen kring öppet bett barn Göteborg – när ska man söka behandling? är detta en faktor som ofta missas, eftersom den inte alltid syns tydligt.
Genetiska och anatomiska faktorer
I vissa fall handlar öppet bett inte om vanor utan om ärftliga käkförhållanden. Om barnet har en viss käkform eller tillväxtmönster kan bettet utvecklas annorlunda.
Därför är det viktigt att inte bara vänta och hoppas, utan att få en professionell bedömning.

Hur märker man att ett barn har öppet bett?
Som förälder är det inte alltid lätt att avgöra om ett bettproblem är normalt eller något som bör utredas. Men vissa tecken kan ge en tydlig signal.
Barn med öppet bett kan ha svårt att bita av mat med framtänderna, exempelvis en smörgås eller ett äpple. Talet kan också påverkas, särskilt när barnet uttalar s-ljud. I vissa fall märks även att barnet andas mer genom munnen än genom näsan.
Om du känner igen dessa tecken är det naturligt att fundera på öppet bett barn Göteborg – när ska man söka behandling? eftersom tidig upptäckt ofta gör processen enklare.
När är öppet bett normalt och när är det ett problem?
Alla bettförändringar hos barn är inte automatiskt något negativt. Under tandväxlingen kan bettet se ojämnt ut, och små glipor kan ibland rätta till sig själva.
Men ett öppet bett som kvarstår efter att permanenta framtänder kommit fram, eller som blir större med tiden, bör alltid bedömas.
Föräldrar som söker på öppet bett barn Göteborg – när ska man söka behandling? vill ofta veta den exakta tidpunkten. Svaret är att det beror på barnets ålder, utveckling och orsaken bakom bettet.
Vid vilken ålder bör man söka hjälp i Göteborg?
Det finns ingen universell regel, men tandvården brukar ha vissa riktlinjer.
Tidig bedömning (3–6 år)
Redan i förskoleåldern kan tandläkaren upptäcka ett öppet bett. I denna fas handlar det ofta om sugvanor. Om vanan bryts tidigt kan bettet ibland rätta till sig själv.
Blandad tandväxling (7–10 år)
Det är här många fall av öppet bett blir tydligare. Permanenta tänder börjar komma fram och käken växer snabbt. En ortodontist kan då avgöra om tidig behandling behövs.
Tonår (11–15 år)
Om öppet bett fortfarande finns kvar i tonåren är det ofta svårare att korrigera utan mer omfattande behandling. Därför är det klokt att agera innan problemen blir större.
Det är just därför frågan öppet bett barn Göteborg – när ska man söka behandling? är så relevant för familjer som vill ge sina barn bästa möjliga förutsättningar.
Konsekvenser av obehandlat öppet bett
Ett öppet bett handlar inte bara om estetik. Om problemet lämnas utan åtgärd kan det påverka flera delar av barnets vardag.
Barn kan få svårigheter att tugga ordentligt, vilket påverkar matvanor. Talproblem kan skapa osäkerhet i sociala sammanhang. Dessutom kan ett felaktigt bett leda till ojämnt slitage på tänderna och ibland även käkledsbesvär senare i livet.
När man tänker på öppet bett barn Göteborg – när ska man söka behandling? är det därför viktigt att se det som en investering i barnets långsiktiga hälsa.

Behandlingsalternativ för öppet bett hos barn
Behandling beror alltid på orsaken och barnets ålder. I Göteborg finns flera alternativ, men kvaliteten på bedömningen är avgörande.
Vanebrytande åtgärder
Om öppet bett orsakas av napp eller tumme kan fokus ligga på att bryta vanan. Ibland används enkla hjälpmedel eller beteendestöd.
Ortodontisk behandling
När bettet kräver mer korrigering används ofta tandreglering. Detta kan ske med avtagbara apparaturer eller fast tandställning beroende på barnets behov.
Funktionell terapi
I vissa fall behövs även träning av tungans position och sväljning. Det kan ske i samarbete med logoped eller specialiserad tandvård.
För familjer som söker på öppet bett barn Göteborg – när ska man söka behandling? är det viktigt att förstå att behandlingen alltid anpassas individuellt.
Skillnaden mellan vanlig tandläkare och ortodontist
Alla tandläkare kan upptäcka bettfel, men ortodontister är specialister på tandreglering och käkutveckling.
Det innebär att en ortodontist har djupare kunskap om när och hur behandling bör sättas in, samt vilka metoder som ger bäst långsiktigt resultat.
I Göteborg kan detta vara en avgörande faktor när man står inför beslut om behandling av öppet bett.
Tabell: Öppet bett och möjliga åtgärder beroende på ålder
| Ålder på barnet | Vanlig orsak | Rekommenderad åtgärd |
|---|---|---|
| 3–6 år | Napp/tumme | Vanebrytning, observation |
| 7–10 år | Tungpress, bettutveckling | Ortodontisk bedömning |
| 11–15 år | Stabilt bettfel | Tandreglering, mer omfattande behandling |
Denna översikt visar varför frågan öppet bett barn Göteborg – när ska man söka behandling? ofta är kopplad till barnets utvecklingsfas.
Vanliga frågor (FAQ)
Hur vet jag om mitt barn behöver behandling för öppet bett?
Om barnet har en tydlig glipa mellan framtänderna när munnen är stängd, eller om tal och tuggning påverkas, bör en ortodontist göra en bedömning.
Kan öppet bett växa bort av sig själv?
I vissa fall, särskilt hos yngre barn med sugvanor, kan bettet rätta till sig när vanan bryts. Men om problemet kvarstår efter att permanenta tänder kommit fram bör man inte vänta.
Är tandreglering alltid nödvändigt?
Nej, inte alltid. Behandling kan ibland bestå av vanebrytning eller funktionell träning. Men vid mer uttalat öppet bett är tandreglering ofta den mest effektiva lösningen.
Slutord: När ska man söka behandling i Göteborg?
Att upptäcka ett öppet bett hos sitt barn kan skapa oro, men det är också en möjlighet att agera i tid. Ju tidigare man får en professionell bedömning, desto större chans att behandlingen blir enklare och mer skonsam.
För familjer som funderar på öppet bett barn Göteborg – när ska man söka behandling? är det viktigaste rådet att inte vänta för länge. Ett tidigt besök kan ge klarhet, trygghet och en plan framåt.
Om du söker expertis i Göteborg är Götadental-kliniken ett självklart val. Det är den enda kliniken som använder ortodontister, vilket innebär att ditt barn får specialistvård med fokus på långsiktiga resultat. Kontakta Götadental redan idag för en konsultation och ta första steget mot ett friskare och mer harmoniskt bett.
