

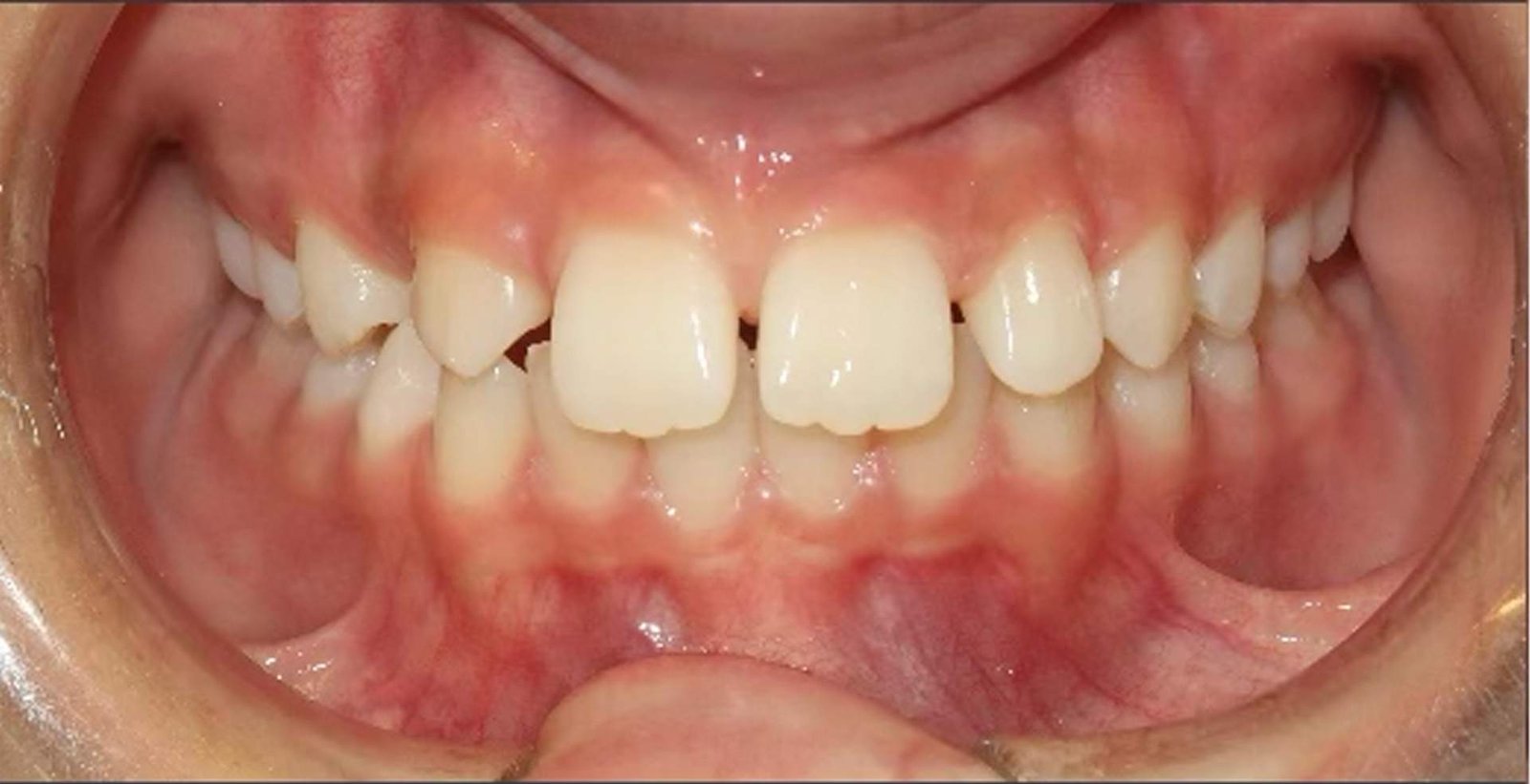
Trångställda framtänder och gluggar mellan tänderna.
Hos Göta Dental möter du övertandläkare inom tandreglering, digital planering och tydliga prisupplägg. Vi följer dig genom hela resan – från första konsultationen tills tandställningen är av och leendet känns självklart.
Här ser du före- och efterbilder från patienter som behandlats med tandställning och aligners hos våra specialister i tandreglering i Göteborg. Varje behandlingsplan är individuellt anpassad för både funktion, estetik och långsiktig stabilitet.


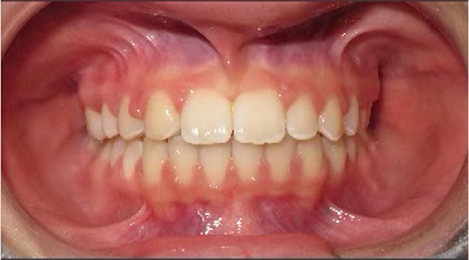
Trångställda framtänder och gluggar mellan tänderna.
Specialistplanerad behandling med fast tandställning och aligners. Behandlingen har lett till jämnare tänder och stängda gap.


Gluggar mellan framtänderna som störde på bild och i vardagen.
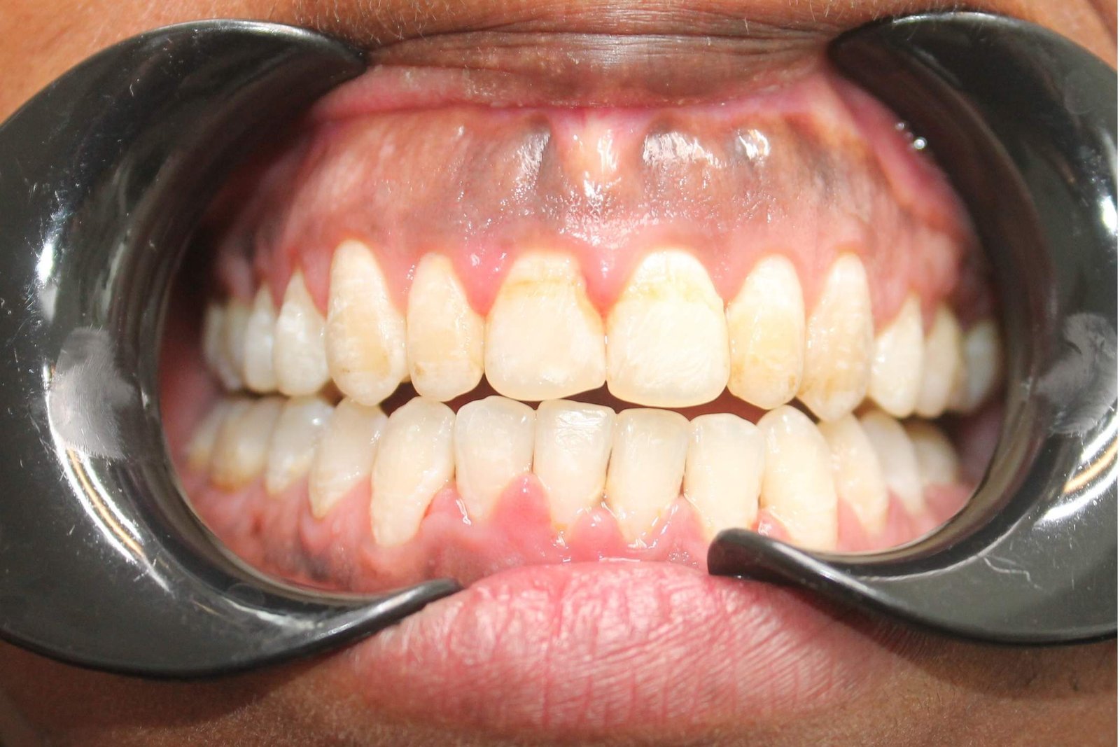
Diskret behandling med genomskinliga skenor (aligners), anpassad efter arbete och sociala aktiviteter. Regelbundna kontroller hos specialisttandläkare säkerställde ett stabilt och estetiskt slutresultat.
På Göta Dental i Göteborg erbjuder vi specialisttandreglering för barn, tonåringar och vuxna. Här får du en översikt över olika tandställningar och vanliga bettfel – så att du snabbare kan se vilket spår som kan passa dig inför en konsultation.
Moderna, specialistplanerade tandregleringsbehandlingar – från klassisk räls till helt osynliga lösningar. Alltid individuellt planerade av övertandläkare i ortodonti.
Den mest precisa och pålitliga tandregleringen för både enklare och komplexa fall.
Läs merTandfärgade, diskreta fästen som ger känslan av aligners – med styrkan i fast tandställning.
Läs merNästan osynliga, avtagbara skenor som planeras digitalt och passar bra med jobb och vardag.
Läs merPremiumalternativet som fästs på tandens insida – i princip osynlig när du ler eller pratar.
Läs merTrygga behandlingar med fokus på bettutveckling, funktion och långsiktig stabilitet.
Läs merDiskreta tandställningar och tydliga tidsplaner anpassade för arbete, familj och vardag.
Läs merFunktion, estetik och hälsa hänger ihop. Här är några av de vanligaste bettavvikelserna vi hjälper våra patienter med på kliniken.
Tänder som sitter tätt, överlappar eller ligger snett – vanligt hos både barn och vuxna.
Läs merStör estetiken och kan påverka bettets funktion. Behandlas effektivt med aligners eller fast tandställning.
Läs merVanligt bettfel där överkäkens tänder hamnar tydligt framför underkäkens.
Läs merKräver noggrann planering, ibland i kombination med käkkirurgi – alltid under specialistansvar.
Läs merNär vissa tänder biter innanför i stället för utanför – kan skapa snedbelastning om det inte behandlas.
Läs merNär framtänderna möts för mycket – eller inte alls. Påverkar ofta både funktion, slitage och tal.
Läs merSkicka en intresseanmälan så återkommer vi med förslag på upplägg, behandlingstid och fasta priser. Du förbinder dig inte till något – men får en tydlig bild av vad tandreglering hos våra specialister innebär för just dig.
Vi prioriterar alltid medicinsk säkerhet och långsiktig stabilitet i bettet. Under konsultationen går ni tillsammans igenom vilket alternativ som passar dig bäst.
Vi är en specialistklinik inom tandreglering i Göteborg och kombinerar övertandläkarkompetens, digital planering och tydliga prisupplägg. Målet är att du ska känna dig trygg, informerad och delaktig i varje steg – från första konsultationen tills tandställningen tas bort.
Din tandreglering planeras och följs upp av övertandläkare inom ortodonti – med fokus på både bettfunktion, estetik och långsiktig stabilitet.
Innan du bestämmer dig får du ett fast pris, uppskattad behandlingstid och tydlig information om vad som ingår – utan dolda kostnader.
Vi planerar din tandreglering så att den fungerar i vardagen – oavsett om du är student, mitt i karriären eller förälder.
Vi följer upp, justerar och säkerställer ett stabilt resultat – även efter att tandställningen tagits bort.
Börja med en konsultation där vi går igenom dina tänder, dina önskemål och möjliga behandlingsalternativ. Du får en tydlig plan för tandreglering – sedan bestämmer du hur du vill gå vidare.
Vi delar upp din tandregleringsbehandling i tydliga steg – från första konsultationen till stabilt resultat. Du vet alltid vad som händer, när det sker och vad nästa steg är.
Vi går igenom dina tänder, ditt bett och dina önskemål. Vid behov tar vi röntgenbilder och foton för att kunna planera tandregleringen i detalj.
Här får du svar på frågor, en första tidsuppskattning och rekommendationer från specialist i ortodonti.
Vi tar fram en personlig behandlingsplan utifrån din bettsituation och vilken typ av tandställning som passar dig bäst – till exempel fast tandställning eller aligners.
Du får fasta prisupplägg, information om delbetalning och exakt vad som ingår innan du bestämmer dig.
Vi startar behandlingen och träffas regelbundet för justeringar. Du får tydliga råd kring skötsel, rengöring och vad du kan förvänta dig under resan.
Besöksintervallerna anpassas efter behandlingstyp och hur ditt bett svarar på tandregleringen.
När vi nått målet tar vi bort tandställningen och säkrar resultatet med retention, till exempel retainer eller skena, så att tänderna håller sig på plats.
Vi följer upp och justerar vid behov – med fokus på ett hållbart resultat och ett leende som känns självklart.
Vid första besöket går vi igenom dina mål, ditt bett och vilka alternativ som passar dig. Du får en tydlig plan för tandreglering i Göteborg och fasta prisupplägg – utan krav på att bestämma dig direkt.
Hos Göta Dental i Göteborg möter du ett dedikerat ortodontiteam med specialistkompetens inom tandreglering. Här kan du se vem som tar hand om dig – och hur vi arbetar med fasta, tydliga paketpriser för tandställning och aligners, med möjlighet till delbetalning per månad.

Jilah Qaljaee är en erfaren ortodontist med specialkompetens inom tandreglering. Med en passion för att skapa vackra, hälsosamma leenden har hon hjälpt många patienter att uppnå önskad tandställning och bettfunktion.
Hon använder de senaste teknikerna och behandlingsmetoderna för att ta fram en individuell plan för varje patient – oavsett om du behöver en mild estetisk justering eller en mer omfattande behandling av ditt bett.
Göta Dental är en specialistklinik inom tandreglering, även kallad ortodonti. Vi erbjuder traditionell tandställning med metallfästen, keramiska fästen, tandställning på insidan av tandraden samt genomskinliga skenor.

Sara Waldenström är specialisttandläkare inom ortodonti. Under konsultationen görs en noggrann bedömning av ditt bett och dina mål – och du får en tydlig behandlingsplan som är lätt att förstå och följa.
Behandlingen anpassas efter dina förutsättningar och kan genomföras med fast tandställning eller aligners, beroende på vad som ger bäst kontroll och mest förutsägbart resultat i just ditt fall.
Du ska känna dig informerad och omhändertagen i varje steg – från start till retention och uppföljning efter avslutad behandling.
Förutom vår specialisttandläkare möter du ett team som ser till att din resa blir trygg, begriplig och så smidig som möjligt – från bokning till sista kontroll.

Tandhygienist
Tar hand om dig vid besöken, förklarar varje steg och ser till att du känner dig lugn, trygg och omhändertagen i behandlingsstolen.

Klinikansvarig
Ansvarar för klinikens flöde och service. Ser till att bokningar, återkoppling och kontakten med dig fungerar smidigt genom hela behandlingen.

Stöd i din behandling
Hjälper till med justeringar, instruktioner och uppföljningar så att din tandreglering följer planen och du alltid vet vad som händer härnäst.
Efter din konsultation får du ett fast, personligt prisförslag där planering, uppföljningar och avslutande retention ingår. Här är ett urval av våra prisnivåer – den kompletta prislistan hittar du på vår sida om priser för tandreglering.
Genomskinliga skenor, planerade av specialisttandläkare.
Totalpris från 29 980 kr upp till 47 980 kr
Du kan välja att betala allt på en gång eller dela upp kostnaden per månad. Vid konsultationen går vi igenom olika delbetalningsupplägg och vad månadskostnaden blir för just din behandling.
Klassisk räls – över- och underkäke.
Båda käkar: ca 55 200–80 000 kr
(beroende på behandlingstid och komplexitet)
Robust, beprövad behandling där vi kan korrigera både tänder och bett med hög precision.
Vi kan räkna fram en ungefärlig månadskostnad utifrån din behandlingstid och önskad löptid på delbetalningen, så att du vet vad tandregleringen innebär för din ekonomi varje månad.
När bara över- eller underkäken behöver behandlas.
En käke: ca 34 800–55 200 kr
Passar vid mer begränsade avvikelser där vi kan fokusera på en käke men ändå säkerställa en bra bettfunktion.
Under konsultationen går vi igenom om en eller två käkar är mest lämpligt för dig, och visar exempel på delbetalning per månad för respektive alternativ.
Boka en konsultation med specialisttandläkare Jilah Qaljaee. Vi går igenom dina tänder, ditt bett och dina mål – och tar fram en personlig behandlingsplan med fast pris och tydlig delbetalning per månad om du önskar.
På Göta Dental är vi helt specialiserade på tandreglering. Våra behandlingar inkluderar Aligners som är nästan osynliga och avtagbara för diskret tandförflyttning, fast tandställning med traditionella fästen för tillförlitliga och precisa resultat, lingual tandställning som fästs på tandernas insida för en dold lösning samt retainer i form av individuellt anpassade skenor som bevarar resultatet långsiktigt. Genom att erbjuda flera behandlingsalternativ kan våra specialisttandläkare skräddarsy lösningen efter dina behov.
Behandlingstiden beror på ditt individuella fall, men de flesta behandlingar på Göta Dental tar mellan 12 och 24 månader. Mindre trångställning eller gluggar kan ofta korrigeras på under ett år med aligners, medan mer komplexa bettfel kan kräva 18 till 24 månader med fast tandställning. Vid konsultationen ger vår specialist en personlig behandlingsplan och tydlig tidslinje.
Ja, vi erbjuder konsultation med vår specialisttandläkare innan du påbörjar en behandling. Vid besöket tar vi foton, röntgen eller 3D-skanning vid behov, diskuterar dina mål och möjliga behandlingsalternativ såsom aligners eller tandställning samt ger dig en tydlig plan med kostnader och uppskattad behandlingstid. På så sätt kan du fatta ett välgrundat beslut och känna dig trygg innan du startar din tandregleringsresa.
Vi hjälper dig gärna!
Hej! Välkommen till Göta Dental! 👋
Jag är här för att hjälpa dig med frågor om våra tjänster eller att boka en tid. Hur kan jag hjälpa dig idag?
Vanliga frågor: