
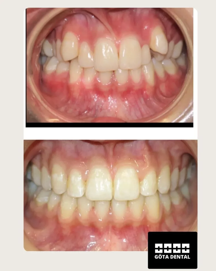
När det kommer till tandreglering är metal brackets en beprövad och pålitlig metod för att korrigera bettavvikelser. Dessa små, robusta fästen, tillverkade av rostfritt stål eller olika legeringar som nickel eller titan, placeras på utsidan av tänderna. Tillsammans med tandbågar och elastiska band arbetar de för att gradvis flytta tänderna och skapa ett vackert leende. I denna artikel kommer vi att utforska fördelarna med metal brackets och varför de fortfarande är ett populärt val för tandreglering.

Aligners erbjuder en estetiskt tilltalande lösning genom att vara osynliga på dina tänder. De smälter sömlöst in och bevarar din naturliga utstrålning under hela behandlingen.
Genom deras avtagbara design blir livet enklare. Du kan ta bort aligners när du äter eller borstar tänderna, vilket ger en flexibilitet som traditionella tandställningar saknar.
Varje aligner är specialtillverkad för dina specifika behov och förflyttar dina tänder gradvis till önskad position. Resultatet är inte bara imponerande, utan också uppnått med minimalt obehag.
En av de främsta fördelarna med metal brackets är deras oslagbara effektivitet. Dessa fästen är extremt starka och kan motstå betydande tryck, vilket gör dem idealiska för att korrigera allvarliga tandregleringsfall. De är kapabla att hantera utmanande justeringar, inklusive rotationer och förskjutningar av tänderna. Oavsett komplexiteten i ditt fall kan metal brackets ge pålitliga och långvariga resultat. lösning för att korrigera sina tänder.


För patienter som söker en kostnadseffektiv lösning för tandreglering är metal brackets ett utmärkt val. Jämfört med vissa andra alternativ för tandreglering erbjuder de en mer prisvärd behandlingsmetod utan att kompromissa med resultatet. Detta gör metal brackets till ett ekonomiskt val för de som vill ha en effektiv och prisvärd lösning för att korrigera sina tänder.
Även om metal brackets är synliga på utsidan av tänderna har moderna framsteg inom tandreglering gjort dem mer estetiskt tilltalande än någonsin tidigare. Idag finns det mindre och mer diskreta fästen tillgängliga, såsom mindre metalliska eller genomskinliga keramiska fästen. Dessa alternativ ger patienterna fler valmöjligheter för att anpassa sin behandling efter sina preferenser och behov. På så sätt kan du genomgå tandreglering utan att känna dig självmedveten och samtidigt få de önskade resultaten.
Göta Dental sticker ut som en av de få klinikerna som kan stoltsera med en aktiv ortodontispecialist. Med Jilah Qaljaee vid vår sida har vi förmånen att erbjuda våra patienter den högsta nivån av specialistkunskap och dedikerad vård inom tandreglering. Det betyder att du får en unik möjlighet att dra nytta av direkt rådgivning och behandling från en expert med gedigen erfarenhet och skicklighet.
Vi förstår att varje tandregleringsresa är unik och att det krävs expertis för att skapa den bästa behandlingsplanen för varje individ. Med Jilahs närvaro kan vi garantera att varje aspekt av din behandling kommer att hanteras på ett professionellt och personligt sätt. Från den första konsultationen till det ögonblick du visar upp ditt nya, strålande leende, kan du lita på att vår specialisttandläkare kommer att vara där för att vägleda dig genom varje steg av processen.
Kontakta oss idag för att dra nytta av vår enastående specialistkompetens inom tandreglering. Med Göta Dental och Jilah Qaljaee får du den vård du förtjänar och ett leende du alltid har drömt om.

Svaret på den här frågan varierar beroende på varje individ och det specifika tandregleringsfallet. Generellt sett kan man dock förvänta sig att se märkbara resultat inom några månader till ett år efter att ha satt på tandställningen. Komplexa fall kan ta längre tid att behandla, medan mindre justeringar kan ta kortare tid.
Med tandställning bör man vara försiktig med vissa typer av mat som kan fastna i eller skada tandställningen. Det rekommenderas att undvika hårda eller sega livsmedel, som karameller, hårda nötter eller tuggummi. Det är också viktigt att undvika mat som kan färga eller missfärga tandställningen, till exempel kaffe eller rödvin. Din tandläkare eller ortodontist kan ge dig mer specifika riktlinjer baserat på din behandlingsplan.
Det är vanligt att uppleva obehag eller ömhet i början av tandregleringsbehandlingen med metal brackets. När tänderna justeras kan det finnas viss ömhet eller tryckkänsla. Det är dock viktigt att notera att smärtan vanligtvis är mild och temporär. Om smärtan blir svår eller långvarig bör du kontakta din tandläkare eller ortodontist för att få råd.
Ja, det går att delta i idrottsaktiviteter med tandställning. Det är dock viktigt att skydda både dina tänder och tandställningen. Använd en speciell munskydd eller tandskydd under idrottsaktiviteter för att minimera risken för skador på tänderna och tandställningen. Din tandläkare eller ortodontist kan ge dig mer specifika rekommendationer baserat på din individuella situation och idrottsaktivitet.
Kom ihåg att dessa svar är allmänna och det är alltid bäst att konsultera din tandläkare eller ortodontist för att få specifika råd och svar baserat på ditt unika fall.
© Götadental AB 2025