Att upptäcka och behandla ett djupt bett i rätt tid är av stor betydelse både ur funktionell och estetisk synvinkel. Många personer lever med ett djupt bett utan att inse dess konsekvenser — problem som sår i gommen, onormalt slitage på tänder, käkspänningar och i vissa fall påverkan på tugg- och talfunktioner kan uppstå. Behandling av djupt bett (djupt bett behandling) syftar till att återställa en balanserad och hållbar bettrelation mellan över- och underkäke, minska risk för skador och förbättra tandhälsa och livskvalitet.
I denna artikel ska vi gå igenom allt du behöver veta om djupt bett behandling: från definition och orsaker, till diagnos, behandlingsmetoder, utmaningar, förväntade resultat och framtidsutsikter. Vi kommer också avsluta med en sammanfattning och vanliga frågor. Min ambition är att du efter att ha läst denna text ska ha en djup förståelse för ämnet och kunna fatta välinformerade beslut om eventuell behandling.
Vi börjar med att förklara vad ett djupt bett är och varför det uppstår.
Vad är ett djupt bett?
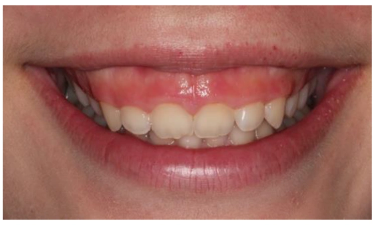
Innan vi går in på behandling krävs en klar bild av vad termen innebär. Ett djupt bett (på svenska ibland kallat “överbitning i vertikal riktning”) kännetecknas av att framtänderna i överkäken täcker — ibland kraftigt — framtänderna i underkäken i vertikal riktning. I vissa fall kan underkäkens tänder till och med bita in i gommen eller tandköttet på överkäken.
Det är alltså inte bara en horisontell överlappning (överbett) utan en vertikal överlappning där de nedre framtänderna “trycks upp” i överkäkens mjukvävnad eller kontaktpunkter. Detta kan ge upphov till irritation, skador och obalanserad belastning på käkleden och tänderna.
I praktiken kan graden av djup variera: från mild där bettet är något djupare än normalt, till mycket uttalat där slemhinna eller tandkött på överkäken påverkas. För att planera en behandling krävs att man noga mäter vertikala dimensioner, relationen mellan käkarna och tandernas position i tre dimensioner.
Eftersom begreppet är tekniskt, lönar det sig att se på hur man klassificerar och graderar detta fel innan man diskuterar orsaker och åtgärder.

Orsaker till djupt bett
Ett djupt bett är sällan resultatet av en enda faktor — oftast rör det sig om en kombination av genetiska, tillväxtmässiga och funktionella orsaker. Här följer några viktiga bidragande orsaker:
Skelettala tillväxtskilnader
I många fall finns skillnader i tillväxten mellan över- och underkäke. Om överkäken växer mer i vertikal riktning, eller om underkäken är kortare, kan resultatet bli att överkäkens tänder kommer “för långt ned” i relation till underkäkens tänder.
Tandposition och lutning
Tänder som är lutade kraftigt bakåt eller framåt kan förstärka det djupa intrycket. Om framtänder i underkäken lutar inåt kan de komma närmare gommen när du biter ihop.
Tandförluster eller platsbrist
Om tänder saknas i underkäken (t.ex. efter utdragning) eller om det finns trångställning kan tänderna kompenseras och flyttas, vilket kan påverka bettets vertikala relation.
Vanor och funktionella faktorer
Vanor som t.ex. intensiv nagelbitning, tungtryck, näsandning och felaktigt tuggmönster kan leda till remodellering av käk- och tandstrukturer som förstärker ett djupt bett.
Gnissling (bruxism) och bettfunktion
Kraftigt gnisslande eller tandpressning kan successivt slita ner tanden och påverka hur tänderna möts, vilket ibland förvärrar redan existerande djupt bett.
Ärftlighet och genetisk predisposition
Många bettavvikelser har en genetisk komponent — det är möjligt att en familjehistoria med djupa bett eller andra bettrubbningar finns bakom.
Samverkan mellan dessa orsaker gör att varje patient ofta behöver en individuell analys för att identifiera vilka faktorer som dominerar.
Symtom och komplikationer
Att ha ett djupt bett kan i vissa fall vara relativt ofarligt om det är milt och välkompenserat, men ofta leder det till olika symtom och problem på både kort och lång sikt. Här är några av dem:
- Irritation i slemhinnan på gommen
Underkäkens framtänder kan slå mot gommen eller tandköttet i överkäken och orsaka sår, skav eller kronisk irritation. - Ökat slitage på tänderna
Eftersom belastningen fördelas ojämnt kan vissa tänder slitas mer än andra, vilket med tiden påverkar emalj och tandstruktur. - Känslighet och smärta
Ökade belastningar kan ge upphov till tandvärk, sprickor, spridda mikrofrakturer eller känslighet vid kyla och värme. - Käksmärta och käkledsproblem
Ett obalanserat bett kan leda till kompensatoriska spänningar i käkmuskler och käkleder, vilket kan ge smärta, gnisslingsljud eller stelhet. - Störningar i bettfunktion
Tuggningsfunktion kan påverkas – vissa livsmedel kan bli svårare att tugga ordentligt. - Estetiska och psykologiska effekter
För många påverkar bettet leendet och ansiktsprofilen, vilket kan inverka på självbild och talkomfort. - Ökad risk för parodontala skador
Ojämn belastning och mekanisk kontakt mot mjukvävnad kan bidra till tandköttsproblem eller rotationer som påverkar den parodontala strukturen. - Kariesrisk och mikrodefekter
Slitage och mikrofrakturer kan göra att ytor blir mer mottagliga för kariesangrepp.
Följande tabell kan sammanfatta några viktiga komplikationer i relation till orsaker:
| Komplikation | Samband med djupt bett | Möjlig följd / påverkan |
|---|---|---|
| Sår på gommen | Kontakt mellan underkäkens framtänder och mjukvävnad | Irritation, blödning, kronisk sveda |
| Lokalt tandbortfall | Ökat punkttryck på vissa tänder | Mikrofrakturer, sprickor |
| Käkledslidande | Obalanserad vertikal belastning | Smärta, klickljud, muskelspänningar |
| Estetiska förändringar | Snedrelation i bettet | Asymmetri, ovälkommen ansiktsprofil |
| Parodontal påverkan | Oregelbunden belastning | Recession eller lokal benförlust |
Att upptäcka och behandla ett djupt bett i rätt tid är av stor betydelse både ur funktionell och estetisk synvinkel. Många personer lever med ett djupt bett utan att inse dess konsekvenser — problem som sår i gommen, onormalt slitage på tänder, käkspänningar och i vissa fall påverkan på tugg- och talfunktioner kan uppstå. Behandling av djupt bett (djupt bett behandling) syftar till att återställa en balanserad och hållbar bettrelation mellan över- och underkäke, minska risk för skador och förbättra tandhälsa och livskvalitet.
I denna artikel ska vi gå igenom allt du behöver veta om djupt bett behandling: från definition och orsaker, till diagnos, behandlingsmetoder, utmaningar, förväntade resultat och framtidsutsikter. Vi kommer också avsluta med en sammanfattning och vanliga frågor. Min ambition är att du efter att ha läst denna text ska ha en djup förståelse för ämnet och kunna fatta välinformerade beslut om eventuell behandling.
Vi börjar med att förklara vad ett djupt bett är och varför det uppstår.
Vad är ett djupt bett?
Innan vi går in på behandling krävs en klar bild av vad termen innebär. Ett djupt bett (på svenska ibland kallat “överbitning i vertikal riktning”) kännetecknas av att framtänderna i överkäken täcker — ibland kraftigt — framtänderna i underkäken i vertikal riktning. I vissa fall kan underkäkens tänder till och med bita in i gommen eller tandköttet på överkäken.
Det är alltså inte bara en horisontell överlappning (överbett) utan en vertikal överlappning där de nedre framtänderna “trycks upp” i överkäkens mjukvävnad eller kontaktpunkter. Detta kan ge upphov till irritation, skador och obalanserad belastning på käkleden och tänderna.
I praktiken kan graden av djup variera: från mild där bettet är något djupare än normalt, till mycket uttalat där slemhinna eller tandkött på överkäken påverkas. För att planera en behandling krävs att man noga mäter vertikala dimensioner, relationen mellan käkarna och tandernas position i tre dimensioner.
Eftersom begreppet är tekniskt, lönar det sig att se på hur man klassificerar och graderar detta fel innan man diskuterar orsaker och åtgärder.

Orsaker till djupt bett
Ett djupt bett är sällan resultatet av en enda faktor — oftast rör det sig om en kombination av genetiska, tillväxtmässiga och funktionella orsaker. Här följer några viktiga bidragande orsaker:
Skelettala tillväxtskilnader
I många fall finns skillnader i tillväxten mellan över- och underkäke. Om överkäken växer mer i vertikal riktning, eller om underkäken är kortare, kan resultatet bli att överkäkens tänder kommer “för långt ned” i relation till underkäkens tänder.
Tandposition och lutning
Tänder som är lutade kraftigt bakåt eller framåt kan förstärka det djupa intrycket. Om framtänder i underkäken lutar inåt kan de komma närmare gommen när du biter ihop.
Tandförluster eller platsbrist
Om tänder saknas i underkäken (t.ex. efter utdragning) eller om det finns trångställning kan tänderna kompenseras och flyttas, vilket kan påverka bettets vertikala relation.
Vanor och funktionella faktorer
Vanor som t.ex. intensiv nagelbitning, tungtryck, näsandning och felaktigt tuggmönster kan leda till remodellering av käk- och tandstrukturer som förstärker ett djupt bett.
Gnissling (bruxism) och bettfunktion
Kraftigt gnisslande eller tandpressning kan successivt slita ner tanden och påverka hur tänderna möts, vilket ibland förvärrar redan existerande djupt bett.
Ärftlighet och genetisk predisposition
Många bettavvikelser har en genetisk komponent — det är möjligt att en familjehistoria med djupa bett eller andra bettrubbningar finns bakom.
Samverkan mellan dessa orsaker gör att varje patient ofta behöver en individuell analys för att identifiera vilka faktorer som dominerar.
Symtom och komplikationer
Att ha ett djupt bett kan i vissa fall vara relativt ofarligt om det är milt och välkompenserat, men ofta leder det till olika symtom och problem på både kort och lång sikt. Här är några av dem:
- Irritation i slemhinnan på gommen
Underkäkens framtänder kan slå mot gommen eller tandköttet i överkäken och orsaka sår, skav eller kronisk irritation. - Ökat slitage på tänderna
Eftersom belastningen fördelas ojämnt kan vissa tänder slitas mer än andra, vilket med tiden påverkar emalj och tandstruktur. - Känslighet och smärta
Ökade belastningar kan ge upphov till tandvärk, sprickor, spridda mikrofrakturer eller känslighet vid kyla och värme. - Käksmärta och käkledsproblem
Ett obalanserat bett kan leda till kompensatoriska spänningar i käkmuskler och käkleder, vilket kan ge smärta, gnisslingsljud eller stelhet. - Störningar i bettfunktion
Tuggningsfunktion kan påverkas – vissa livsmedel kan bli svårare att tugga ordentligt. - Estetiska och psykologiska effekter
För många påverkar bettet leendet och ansiktsprofilen, vilket kan inverka på självbild och talkomfort. - Ökad risk för parodontala skador
Ojämn belastning och mekanisk kontakt mot mjukvävnad kan bidra till tandköttsproblem eller rotationer som påverkar den parodontala strukturen. - Kariesrisk och mikrodefekter
Slitage och mikrofrakturer kan göra att ytor blir mer mottagliga för kariesangrepp.
Följande tabell kan sammanfatta några viktiga komplikationer i relation till orsaker:
| Recession eller lokal benförlust |
Att förstå dessa konsekvenser visar tydligt varför en genomtänkt djupt bett behandling ofta är nödvändig snarare än frivillig.
Diagnos och planering
Behandlingens framgång beror i hög grad på korrekt diagnos och noggrann planering. Innan man påbörjar någon intervention måste följande steg genomföras:
Klinisk undersökning
I kliniken görs en detaljerad bedömning av tänder, orenhet, tandposition, tandkött och mjukvävnad. Tandläkaren eller ortodontisten letar efter spår av slemhinnekontakt, slitage, asymmetrier och andra tecken på problem kopplade till djupt bett.
Röntgen och bilddiagnostik
Panoramabild (orthopantomografi), laterala cephalometriska bilder, ibland CBCT (3D-röntgen) kan vara nödvändiga för att analysera käkarnas relation, tändernas rötter, benstruktur och eventuell påverkan på angränsande strukturer.
Mätningar och analys
Man mäter vertikala dimensioner, incisalöverskott (överbitning i vertikal riktning), lutningar, avstånd mellan raderna och relation mellan käkarna i tre dimensioner. Cephalometriska analyser hjälper att identifiera skeletala relationer och planera riktning för rörelser.
Funktionell analys
Man undersöker hur käken rör sig, hur tänderna möts i olika lägen (centrisk relation, maximal interkuspation), eventuella tvångsföringar och muskelstatus. En analys av tuggningsmönster och käkrörelse kan avslöja funktionella bidragande faktorer.
Diagnosformulering och behandlingsplan
Baserat på all insamlad information formulerar man en diagnos med prognos och diskuterar olika behandlingsalternativ med patienten. Man tar hänsyn till patientens ålder, benreserver, samarbete (compliance), förväntningar och risker.
Indikationsbedömning
I Sverige finns riktlinjer för när ortodonti ska remitteras eller prioriteras. Exempelvis ingår djupt bett med slemhinneskador som en indikation i vissa prioriteringslistor.
Genom denna grundliga planering kan man skräddarsy en djupt bett behandling som är både effektiv och hållbar.

Metoder och strategier för djupt bett behandling
När diagnosen är klar väljs metod(er) som är mest lämpade för patientens unika situation. Det finns flera tekniker och kombinationer som kan användas. Vi går igenom de vanligaste och hur de fungerar samt deras för- och nackdelar.
Fasta tandställningar (brackets)
En av de mest använda metoderna för djupt bett behandling innebär att man fäster brackets (metall eller keramiska) på tänderna som med hjälp av bågar och kraftkontrollerade rörelser flyttar tänderna i tre dimensioner (vertikalt, mesiodistalt och buccolingualt).
För att korrigera ett djupt bett med fast tandställning används ofta vertikalkrafter, upphöjning (bite-raising), cross elastics och i vissa fall extraktioner för att skapa utrymme. Genom att höja bitplanet (t.ex. mellan molarer) kan man ”öppna” bettet och ge plats för framtänderna att flytta sig utan att de kläms mot gommen. Fasta apparaturer tillåter stor kontroll över tandrörelser.
Fördelar:
- Hög precision och kontroll
- Möjlighet att korrigera komplexa fall
- Kan kombineras med andra tekniker som gummiband och skruvar
Nackdelar:
- Relativt lång behandlingstid
- Kräver noggrann hygien
- Risk för rotresorption och obehag
Forskning i evidenskartan visar att behandling av öppet eller djupt bett med fasta system har god grund i litteraturen.
Avtagbara apparaturer och skenor
I vissa fall — särskilt om felet är måttligt eller om patienten är yngre — kan man använda avtagbara apparaturer (plåtar, aktivatorer, skenor) som kompletteras med eller ersätter fasta system.
Ett exempel är klammerplåtar med bitvallar eller bitplåtar som bibehåller vertikalt utrymme mellan tänderna under behandling. Detta gör att framtänderna inte trycker mot varandra eller mot mjukvävnad, vilket underlättar korrigeringen.
En annan variant är aktivatorer eller prefabricerade skenor som LM-Activator, som i vissa sammanhang används redan i det tidiga växelbettet för att mildra utvecklingen av bettfel inklusive djupt bett. Denna metod kan påverka både tänder och käktillväxt.
Skenor som Invisalign eller andra genomskinliga justerbara plastskenor kan också vara ett alternativ, särskilt för vuxna med måttliga problem — förutsatt att man kan åstadkomma tillräcklig vertikal kontroll och compliance.
Fördelar av avtagbara alternativ:
- Bättre estetik och komfort
- Möjlighet att ta ut vid måltider och rengöring
- Lägre synlighet
Begränsningar:
- Kräver hög patientdisciplin
- Mindre kontroll över komplexa rörelser
- Ofta långsammare effekt än fasta system
Bittshöjning och extrudering / intrudering
I många fall av djupt bett behandling krävs att man modifierar vertikaldimensionen genom att antingen extrudera (dra ut) bakre molarer eller intrudera (trycka ner) framtänder för att balansera bettet.
- Bittshöjning innebär att man skapar mellanlägg mellan molarer eller använder bite-blocks som höjer bettet, vilket ger frihet åt framtänder att flytta sig utan kontakt med gommen.
- Extrudering av molarer kan användas för att “lyfta” bettet vertikalt, vilket ger en öppning för fronttänderna att flytta sig.
- Intrudering av framtänder är en svårare rörelse som kräver känslig kraftkontroll och ibland mini-implantat eller ankarelement för att undvika oönskade sidoeffekter.
Kombinationer av dessa strategier (yttre bitehöjning + intrudering + fast tandställning) är ofta nödvändiga i mer komplicerade fall.
Ortognatkirurgi
I fall där bettfelet har en betydande skelettdimension (t.ex. mycket asymmetri, kraftig underutveckling av underkäken, eller där tandrörelser ensamt inte räcker) kan man behöva kirurgiska ingrepp (ortognatkirurgi) tillsammans med tandreglering.
Operationen kan inkludera att man flyttar underkäken eller överkäken i vertikal riktning för att skapa ett balanserat bett, följt av finjustering med ortodonti.
Denna typ av kombinationsbehandling är mer resurskrävande och kräver noggrann samordning mellan käkkirurg och ortodontist, men för vissa patienter ger det det enda realistiska sättet att uppnå stabilt, funktionellt och estetiskt bett.
Retentionsfas
Oavsett vilken metod som använts, är retention (att hålla tänderna på plats) kritisk efter avslutad rörelse. Retainer (fast eller avtagbar) används ofta under lång tid efter själva aktivbehandlingen för att minimera risk för att bettet relapserar (återgår).
En djupt bett behandling utan korrekt retention riskerar att förlora en del av förändringarna.

Faktorer som påverkar framgång och utmaningar
Att genomföra en framgångsrik djupt bett behandling är inte utan utmaningar. Nedan är faktorer som påverkar utfallet och riskpunkter att beakta:
- Patientens ålder och tillväxtpotential
Yngre patienter, särskilt innan eller under tillväxtspurten, har ofta bättre möjlighet att påverka skelettala dimensioner. För vuxna kan benstrukturens stelhet begränsa rörelser. - Benreserver och alveolär flexibilitet
Benets tjocklek och form, densitet och flexibilitet påverkar hur lätt tänder kan flyttas utan att kompromissa med rotstruktur eller benstödet. - Samarbete och compliance
I metoder som kräver användning av avtagbara apparaturer är patientens engagemang avgörande. Otillräcklig användning kan göra att behandlingen tar betydligt längre tid eller misslyckas. - Hygien och kariesrisk
Under behandling med apparaturer är risken för karies och vita fläckar (dekalcifiering) ökad, så patienten måste ha god munhygien för att resultatet ska bevaras. - Rotresorption och biverkningar
För mycket kraft eller felaktig kraftvektor kan leda till rotresorption (förkortning av tandrötter). Noggrann planering och kontroll är nödvändig. - Recidiv (återgång)
En av de största riskerna är att bettet delvis återgår till ursprungsläge. Korrekt retention och uppföljning är avgörande för att minimera detta. - Mjukvävnadsanpassning
När tänderna flyttas, måste mjukvävnad (läppar, tunga, muskelbalans) också kunna anpassa sig. Om mjukvävnad drar emot tänderna kan de motverka behandlingen. - Begränsningar i vertikal kontroll
Vissa fall kräver avancerade ankarelement eller kirurgiska insatser för att hantera vertikala problem som inte kan lösas med tandrörelser ensam.
Att förstå och hantera dessa riskfaktorer är nyckeln till att uppnå ett stabilt och funktionellt slutresultat i en djupt bett behandling.
Behandlingsgång: steg för steg
Här beskrivs en typisk behandlingsgång för ett djupt bett, med tanke på var patienten kan befinna sig (barn, tonår, vuxen) och vilka metoder som kan användas:
1. Pre-behandlingsfas / diagnostik
- Klinisk undersökning, röntgen, måttanalys
- Diskussion av behandlingsmål, begränsningar och risker
- Planering av sekvens och kombinationer (t.ex. bitehöjning, extraktion, ankarelement)
2. Inledande förberedelser
- Bedöm att patientens munhygien är optimal
- extraktioner, tanduttag eller avlastning
- Placera biteblock eller mellanlägg för att öppna bettet
3. Aktiv rörelsefas
- Placera fasta apparaturer (brackets, bågar) eller avtagbara apparaturer
- Använd vertikalkrafter, gummiband eller elastics för att styra rörelser
- Justeringar och kontroller med några veckors intervall
- I svåra fall kan mini-implantat eller ankarelement användas för stabilitet
4. Finjustering
- Kontrollera att bettet är funktionellt i både centrisk relation och maximal interkuspation
- Säkra korrekta kontakter i både sidokorridor och front
- Korrigera små asymmetrier och justera lutningar vid behov
5. Retention och slutkontroll
- Placera retainer (fast eller avtagbar) för att bibehålla resultatet
- Regelbundna uppföljningskontroller (1–2 gånger per år eller mer)
- Justera retention vid behov baserat på stabilitet och eventuella rörelser
6. Underhåll och livslång bevakning
- Kontrollera att bettet förblir stabilt över tid
- Rekommendera livslång retentionsstrategi i vissa fall
- Uppmärksamma nya funktionella förändringar, vanor eller sjukdomar som kan påverka bettet
Genom att följa en strukturerad behandlingsgång minskar risken för komplikationer och recidiv.
Fallstudier och kliniska exempel
Att se några verkliga exempel kan illustrera hur en djupt bett behandling kan se ut i praktiken:
Fall 1: tonåring med måttligt djupt bett
Patienten, en 14-årig tonåring, har ett måttligt djupt bett med irritation i gommen men god benstruktur. Diagnosen visade att extraktion inte krävdes, men att bitehöjning och intrudering av framtänder var nödvändigt.
Behandlingsplan:
- Placera biteblock mellan molarer för att öppna vertikalen
- Fast tandställning med brackets
- Användning av intermaxillära gummiband för vertikal kontroll
- Finjustering och retainer i avslutningsskedet
Resultat: Efter ungefär 18 månader kunde man uppnå balanserat bett och minimal irritation i gommen. Patienten behöll retainer nattetid och uppföljning över flera år visade stabilitet.
Fall 2: vuxen med uttalat djupt bett och skeletala komponenter
En 28-årig vuxen med kraftigt djupt bett och underutvecklad underkäke. Tandrörelser ensamma kunde inte lösa felet, så man planerade kombinationsbehandling med ortognatkirurgi.
Behandlingsplan:
- Förbehandling med fast tandställning för att förbereda tandraderna
- Kirurgisk repositionering av käkar för att förbättra vertikal dimension
- Finjustering med ortodonti efter kirurgi
- Retention med fasta och avtagbara retainers
Resultat: Efter cirka 2,5 år (inklusive kirurgi) uppnåddes både funktionell och estetisk förbättring. Patienten rapporterade mindre belastning i käkarna och bättre tuggkomfort.
Dessa exempel visar hur viktigt det är att anpassa djupt bett behandling efter individuella förutsättningar och hur kombinationer av metoder används i mer komplexa fall.
Evidens och forskning
När man diskuterar behandlingar är det viktigt att också granska vilken vetenskaplig evidens som finns. Inom tandreglering och ortodonti finns flera systematiska översikter om behandling av öppet och djupt bett. sbu.se
Några viktiga slutsatser och insikter från forskningen:
- Behandling av djupt bett med olika tekniker (fasta, avtagbara apparaturer) har studerats, men kvaliteten på bevis varierar. sbu.se
- Avtagbara apparaturer kan vara effektiva i mildare fall, men kräver hög patientcompliance.
- Fasta apparaturer ger oftast bättre kontroll i mer komplexa fall och kan kompletteras med andra tekniker för vertikal kontroll.
- Handel med vertikal rörelse (intrudering/extrudering) är ofta en kritisk del i att korrigera djupt bett, och forskning lyfter fram vikten av noggrann kraftstyrning.
- Kombinationer med ankarelement (t.ex. mini-implantat) kan förbättra stabilitet och förenkla vertikala rörelser.
- Många studier har visat att korrekt retention är central för att förhindra recidiv.
Sammantaget indikerar evidensen att djupt bett behandling är möjlig och kan få bra resultat, men att den kräver noggrann planering och att man tar hänsyn till patientens funktionella, anatomiska och beteendemässiga faktorer.
Praktiska tips och patientråd
För den som genomgår eller överväger djupt bett behandling finns flera praktiska aspekter att beakta för att optimera resultat och minimera risker:
- Kommunikation: Diskutera öppet med din tandläkare eller ortodontist om dina förväntningar, tidsperspektiv och eventuella begränsningar.
- Hygien: Upprätthåll sträng munhygien under hela behandlingen – rengöring runt brackets, plattor eller skenor måste göras noggrant för att undvika karies och dekalcifiering.
- Samarbete: Följ instruktioner (t.ex. användning av avtagbara apparater, gummiband) noggrant och rapportera eventuella problem i tid.
- Skydd vid aktiviteter: Om du utövar sport, använd skyddsskena där det är nödvändigt, särskilt om du har apparatur i munnen.
- Undvik dåliga vanor: Tuggummi, nagelbitning eller andra parafunktioner kan motverka behandlingen.
- Uppföljning: Gå på planerade kontroller för att kunna justera behandling och upptäcka eventuella avvikelser i ett tidigt skede.
- Långsiktig retention: Var inställd på att behålla retainer under lång tid (aktiv fas och ibland livslång) för att säkra resultatet.
Genom att aktivt delta i behandlingen och följa rekommendationer kan patienten bidra starkt till att en djupt bett behandling blir framgångsrik och hållbar.
Fallgropar och riskhantering
Det är lika viktigt att vara medveten om möjliga fallgropar som att veta om behandlingsmöjligheterna. Här är några risker man bör vara vaksam på:
- Överdriven kraft: Att använda för starka krafter kan leda till rotresorption eller benförlust.
- Felriktade krafter: Om krafter inte är korrekt riktade kan tänder förflyttas i oönskade riktningar och kompromettera bettfunktionen.
- Dålig retention: Om retentionen inte hanteras korrekt är risken för delvis återgång stor.
- Delvis lösning av djupkomponenten: Ibland kan man korrigera tandposition men inte fullt ut hantera den vertikala dimensionen — vilket leder till kvarstående obalans.
- Mjukvävnadsmotstånd: Tänder kan dra sig mot mjukvävnad eller muskelstruktur, vilket motverkar rörelser eller leder till rotationer.
- Patientens ovilja eller trötthet: Lång behandlingstid eller upprepade justeringar kan trötta ut patienten, vilket kan påverka samarbetet.
- Komplexa anatomiska förutsättningar: Hos patienter med mycket snedhet, asimetri eller tunn benvägg kan vissa rörelser vara svåra eller riskfyllda.
- Kombinationsbehov med kirurgi: Om man underskattar behovet av kirurgisk intervention kan man hamna i en situation där tandrörelser inte räcker — planering måste vara realistisk från början.
Genom att identifiera dessa riskpunkter i tid, diskutera dem med patienten och ha flexibla planer kan man mildra negativa effekter och optimera resultatet.
Vill du ha en trygg, evidensbaserad väg ut ur djupt bett?
Boka en konsultation hos Göta Dental – här leds din behandling av en specialisttandläkare i ortodonti, till skillnad från många kliniker där tandreglering utförs av allmäntandläkare. Kontakta Göta Dental redan idag och ta första steget mot ett stabilt, funktionellt och vackert bett.
Vanliga frågor och svar (FAQ)
Här är några vanliga frågor som patienter ofta ställer kring djupt bett behandling, med pedagogiska och detaljerade svar:
- Kan ett djupt bett korrigeras utan kirurgi?
Ja — i många fall kan ett djupt bett korrigeras med enbart ortodontiska metoder (fasta eller avtagbara apparaturer), särskilt om skelettkomponenten är måttlig och benstrukturen tillåter förändring. - Hur lång tid tar en behandling för djupt bett?
Behandlingstiden varierar beroende på svårighetsgrad, patientens ålder, compliance, valda metoder och eventuella kirurgiska steg. - Kommer tänderna att flytta tillbaka efter behandling?
Risk för viss återgång (recidiv) finns alltid. Därför är retention avgörande. Om retainer används enligt plan och uppföljningar görs regelbundet, kan man minimera risken. - Är behandlingen smärtsam eller obehaglig?
Det kan uppstå viss ömhet eller tryckkänsla, särskilt efter aktiveringar eller bågbyten. Men smärtan är oftast mild och övergående - Finns det några åldersgränser för att behandla djupt bett?
Det finns ingen absolut åldersgräns, men yngre patienter med tillväxtmöjlighet har oftast mer fördelaktiga förutsättningar. - Kan vanliga skenor (som Invisalign) användas?
Ja, i vissa måttliga fall kan man använda genomskinliga skenor, men utmaningen ligger i vertikal kontroll (dvs att hindra att tänder pressas mot gommen).
