Mild justering
Aligner TIER 1. För milda estetiska justeringar.
- Leg. specialisttandläkare
- Upp till 10 aligners
- Retention (1 skena)
- Samtliga uppföljningar
Välkommen som Villanytt-läsare. På Göta Dental behandlas du alltid av specialister i ortodonti. Under en kostnadsfri konsultation gör vi en noggrann specialistbedömning och tar fram en individuell behandlingsplan med tydlig tidslinje och fasta priser.
Upp till 10 000 kr i avdrag efter specialistbedömning. Gäller ett begränsat antal behandlingar.
Erbjudandet gäller Villanytt-läsare och dras av från ordinarie pris efter klinisk undersökning. Behandlingsmetod och omfattning avgörs alltid utifrån medicinsk bedömning av specialist.
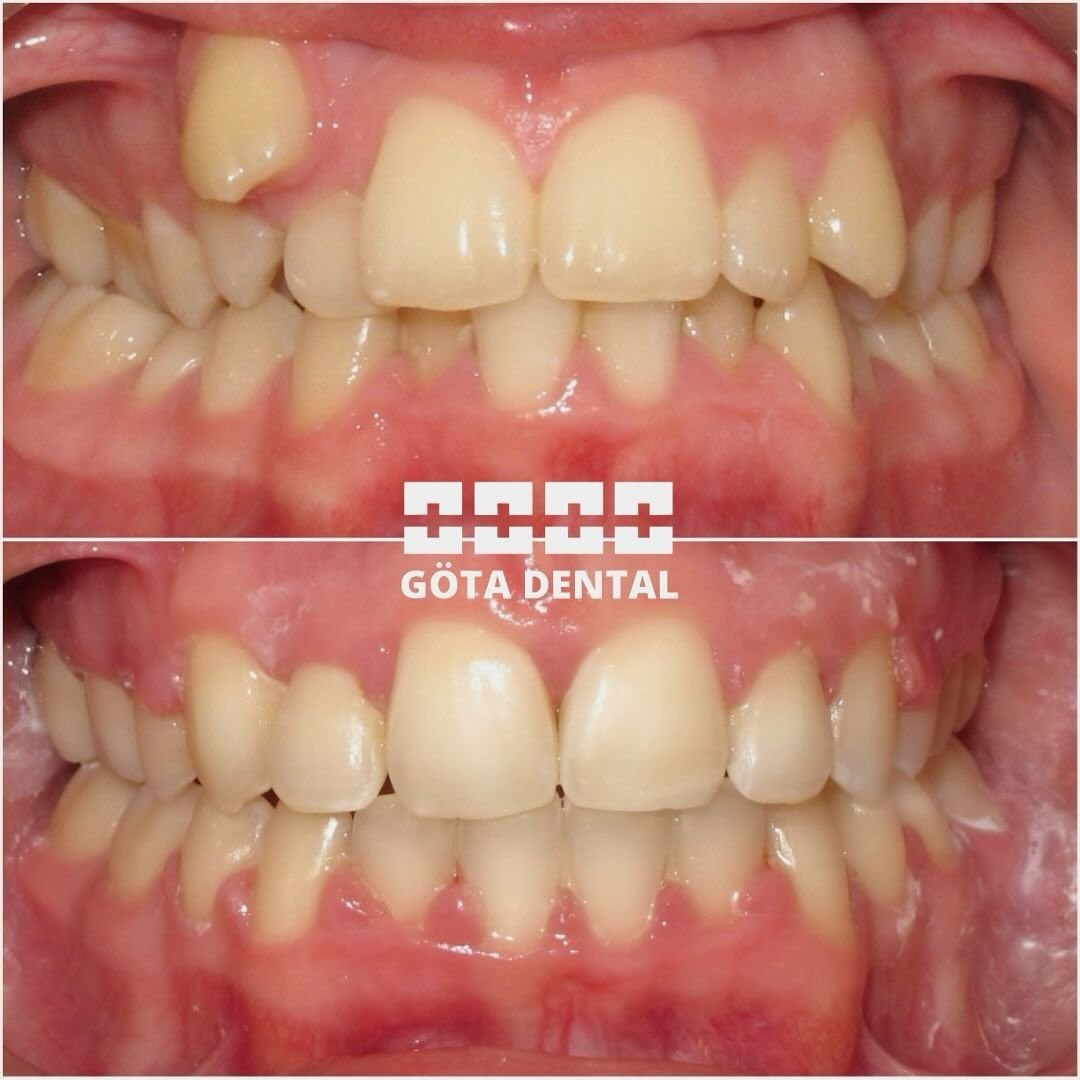
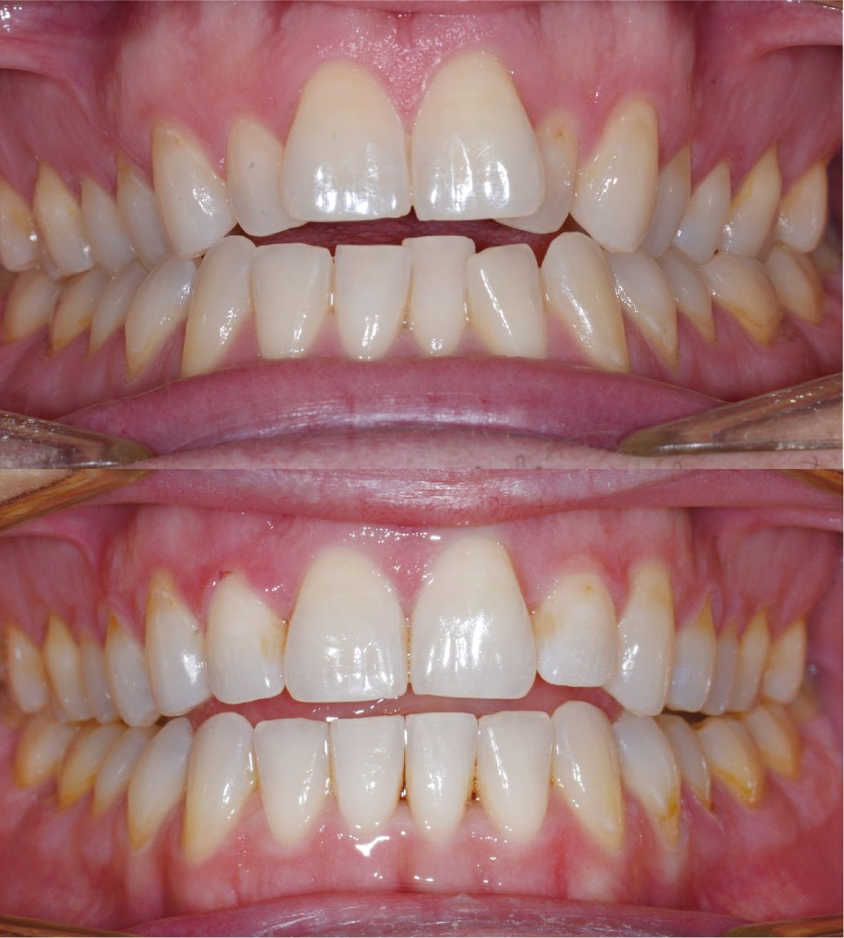
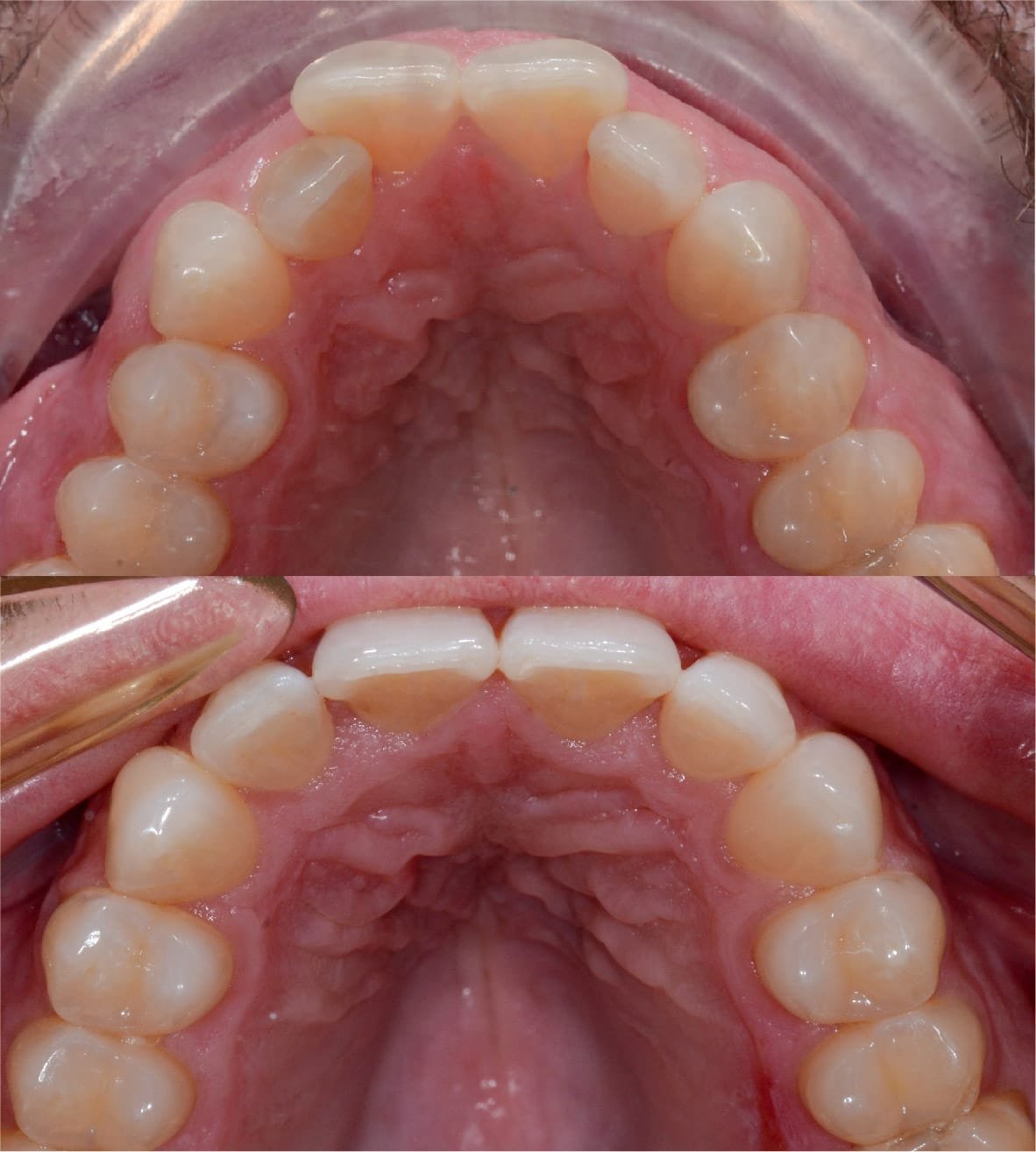
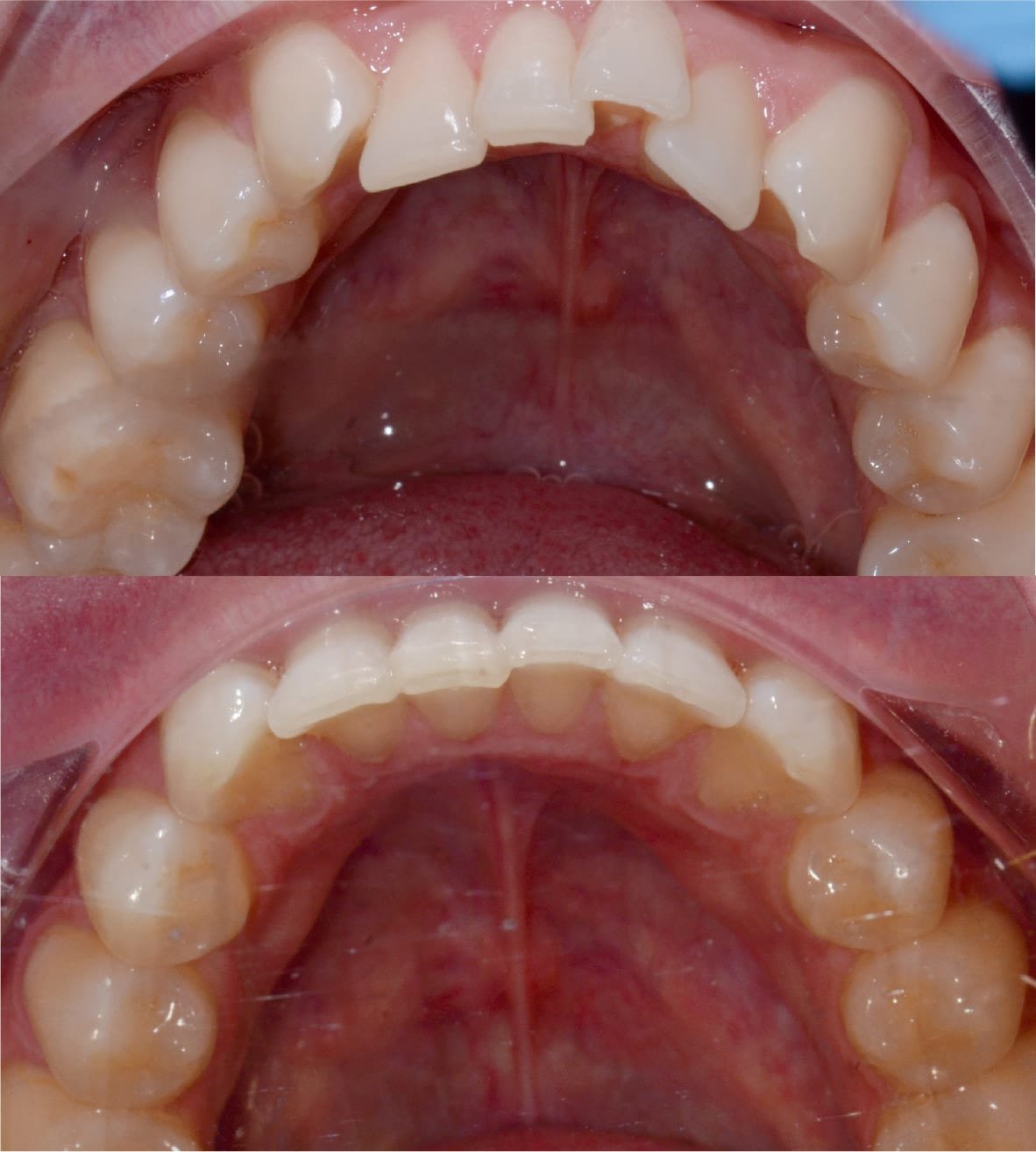
Tandreglering handlar inte bara om raka tänder. Det handlar om bett, funktion och ett resultat som ska hålla över tid. Därför planeras varje behandling på Göta Dental alltid av specialister i ortodonti.
Aligners är utmärkta i rätt fall. I andra situationer krävs fast tandställning eller en kombination för den precision som behövs för ett stabilt slutresultat.
Du får en individuell behandlingsplan med tidslinje, uppföljning och retention – inte ett standardupplägg. Vi tar ansvar hela vägen.
Behandlingen avslutas inte när tänderna är raka, utan när bettet är stabilt och säkrat långsiktigt med korrekt uppföljning.










På Göta Dental bedrivs tandreglering uteslutande av legitimerade specialisttandläkare i ortodonti. Det innebär att varje behandling planeras, genomförs och följs upp med djup medicinsk kompetens, lång erfarenhet och fullt ansvar – från första bedömning till långsiktig stabilitet.
Jilah har lång erfarenhet av avancerad tandreglering hos både barn, ungdomar och vuxna. Hon arbetar med helheten i fokus: bettets funktion, estetik och långsiktig stabilitet. Hennes arbetssätt präglas av noggrann behandlingsplanering, tydlig kommunikation och ett starkt fokus på uppföljning och retention – för att resultatet inte bara ska se bra ut, utan också hålla över tid.
Sara är specialist i ortodonti med bakgrund inom både kliniskt arbete och forskning. Hon har arbetat flera år inom specialisttandvården och är van att hantera komplexa bettavvikelser med hög precision och evidensbaserade metoder. Med ett analytiskt och strukturerat arbetssätt bidrar Sara till att varje behandling anpassas efter individens förutsättningar, med fokus på både funktion och långsiktigt resultat.
Att Göta Dental har två specialister inom ortodonti innebär extra trygghet för dig som patient. Behandlingar kan diskuteras, utvärderas och följas upp med specialistkompetens genom hela processen. Det ger kontinuitet, kvalitet och säkerställer att rätt metod väljs för rätt bett – oavsett om behandlingen sker med aligners, fast eller keramisk tandställning.
Vid första besöket träffar du en legitimerad specialist i tandreglering som gör en noggrann analys av ditt bett och dina behov. Du får träffa samma person under hela din behandling.
Utifrån dina mål och förutsättningar skapar vi en skräddarsydd plan – godkänd av specialist. Du får se en simulering av ditt framtida leende innan behandlingen startar.
Nu sätter vi igång. oftast delas upp insättning mellan överkäke och underkäke. Uppföljningen sker alltid på kliniken – med personlig kontakt genom hela resan.
På Göta Dental erbjuder vi hela bredden av tandregleringsbehandlingar. Det betyder att du inte behöver anpassa ditt bett efter en metod – vi anpassar metoden efter dig.

Se exempel på ordinarie priser och hur du kan delbetala – direkt hos Göta Dental eller via Resurs Tandkonto.
Priserna nedan är ordinarie riktpriser. Exakt pris fastställs alltid efter specialistbedömning vid konsultation, baserat på bett, behandlingsbehov och behandlingslängd.
Aligner TIER 1. För milda estetiska justeringar.
Aligner TIER 2. Passar de flesta patienter med måttliga behov.
Aligner TIER 3. För omfattande bettfel eller mer komplexa behov.
Skicka en intresseanmälan så återkommer vi med förslag på upplägg, behandlingstid och fasta priser. Du förbinder dig inte till något – men får en tydlig bild av vad tandreglering hos våra specialister innebär för just dig.
Vi prioriterar alltid medicinsk säkerhet och långsiktig stabilitet i bettet. Under konsultationen går ni tillsammans igenom vilket alternativ som passar dig bäst.
| Fördelar | Göta Dental | Allmän tandläkare | Utlandet / Billigalösning |
|---|---|---|---|
| Alltid specialist i ortodonti | ✅ | ❌ | ❌ |
| Fast pris utan dolda avgifter | ✅ | ❌ | ❌ |
| Skräddarsydd behandlingsplan | ✅ | ✅ | ❌ |
| Estetiskt alternativ (keramiska brackets) | ✅ | Begränsat | ❌ |
| Klinikblekning ingår | ✅ | ❌ | ❌ |
| Retainers ingår | ✅ | Begränsat | ❌ |
| Akutbesök ingår | ✅ | ❌ | ❌ |
| Personlig kontakt med samma specialist | ✅ | ❌ | ❌ |
| Kortare väntetid än Folktandvården | ✅ | ❌ (långa köer) | ✅ men ingen uppföljning |
| Trygg behandling på plats i Göteborg | ✅ | ✅ | ❌ |
| Bevisad långtidssäkerhet | ✅ | Begränsat | ❌ |

Sneda eller överlappande tänder på grund av platsbrist i käken.

När en eller flera tänder i underkäken biter framför överkäkens tänder.

Mellanrum mellan tänderna på grund av för mycket plats i käken.

Ett mellanrum mellan framtänderna – kallas diastema.

När överkäkens framtänder lutar utåt eller ligger framför underkäkens.

Jag rekommenderar verkligen Göta Dental!
Hela behandlingen gick smidigt och resultatet blev fantastiskt. Personalen var otroligt hjälpsam och såg verkligen till att jag kände mig trygg och informerad hela vägen. Jag är så nöjd med mitt nya leende – bättre än jag kunnat hoppas på!

Tandreglering med specialist – kunde inte blivit bättre
Från första besöket till sista kontrollen var allt professionellt, smidigt och tryggt. Tandläkaren var både kunnig och lyhörd, och förklarade allt tydligt. Uppföljningen var punktlig och resultatet blev långt över mina förväntningar.

Så nöjd med resultatet!
Mitt leende har blivit så mycket finare. Allt gick smidigt, och tandläkaren lyssnade verkligen på mig. De hjälpte mig att designa ett leende jag är stolt över – och svarade till och med på helger. Otrolig service!

Fantastiskt bemötande
Det bästa beslutet jag tagit för mitt leende. Fantastiskt bemötande och resultat, jag känner mig verkligen trygg hos Göta Dental.

Mitt självförtroende är tillbaka
Fick äntligen självförtroendet tillbaka efter min behandling. Stort tack till hela teamet på Göta Dental!




Kostnadsfri konsultation. Bedömning av ortodontist. Begränsat antal tider – boka idag.
Vi hjälper dig gärna!
Hej! Välkommen till Göta Dental! 👋
Jag är här för att hjälpa dig med frågor om våra tjänster eller att boka en tid. Hur kan jag hjälpa dig idag?
Vanliga frågor: